拿到妇科检查TCT报告一脸懵?3分钟教你看懂
亲爱的女性朋友们,每年做妇科检查,拿到TCT报告单时,你是不是都有点小紧张?看着那些专业术语,心里直打鼓:“这到底是什么意思?严不严重?”
别慌!今天病理科医生来把TCT报告一次说清楚,让你也能轻松看懂这份宫颈发来的“健康预报”。
简单来说,TCT(宫颈液基薄层细胞学检查)就是宫颈的“细胞质检报告”。
医生用小刷子在你的宫颈上轻轻刷取一些细胞,然后送到病理科,由医生在显微镜下仔细观察这些细胞的“长相”,主要目的是:筛查宫颈癌和癌前病变。这是我们做TCT的核心任务。
但很多人不知道的是,这份“质检报告”除了看癌变,还会告诉你一个重要信息:你的阴道微环境还好吗?有没有“不法分子”(微生物)在捣乱?
如果你的TCT报告在“微生物”这一项有提示,通常指的是细菌、真菌(如念珠菌)或滴虫。它们可能引起相应的阴道炎症,千万别忽视!
这些炎症不仅会带来不适,长期不管还可能加重或引发其他问题。我们来逐一拆解:
细菌性阴道病
报告怎么看?
关键看有没有 “线索细胞” 。当它占的比例超过20%,就可能中招了。
身体有啥感觉?
最典型的是白带增多,伴有鱼腥味,质地稀薄。
怎么办?
需要医生指导用药,调节菌群平衡,并记得复查。
图片来源于细胞学学习笔记
真菌感染(念珠菌性阴道炎)
报告怎么看?
病理医生会在镜下看到菌丝或孢子。
身体有啥感觉?
这可能是很多姐妹的“老熟人”了——外阴奇痒无比,白带呈豆腐渣或凝乳状。
怎么办?
需要抗真菌治疗,并遵医嘱复查。
图片来源于病理小白学习笔记
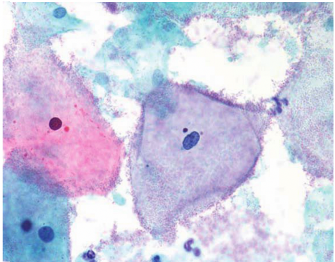
滴虫性阴道炎
报告怎么看?
医生会看到一种带小尾巴(鞭毛) 的灰色小虫。
身体有啥感觉?
白带增多,呈黄绿色、泡沫状,有臭味,同时伴有瘙痒或灼热感。
怎么办?
需要夫妻同治,并严格遵医嘱用药和复查。
图片来源于自病理规培笔记
所以,下次拿到报告,别再自己瞎猜干着急啦!
无论是一切正常还是治疗炎症,最正确的做法都是——带上你的报告,及时咨询医生,获得最专业的解读和治疗方案。
关爱自己,从读懂每一份健康信号开始!










闽公网安备