【石狮妇科医院】想要远离宫颈癌,要弄清楚这三项检查!
宫颈癌是常见的妇科恶性肿瘤之一,近年来宫颈癌的发病年龄呈年轻化趋势。
宫颈癌可通过癌前病变的检查和处理得以有效控制,因此宫颈癌的筛查就尤为重要。
宫颈癌,防大于治
目前,大家对预防宫颈癌的普遍认知就是接种HPV疫苗,对于疫苗,大家应该都不陌生了,在这里就不再赘述。
宫颈癌的筛查形成了三阶梯诊断:TCT(液基薄层细胞检测)、HPV病毒分型检测、阴道镜检查与病理组织活检。
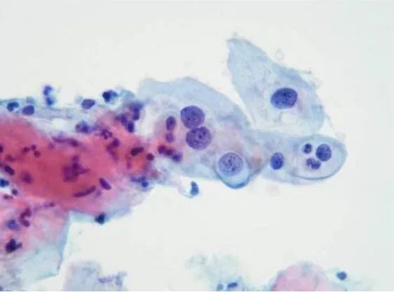
TCT检查是宫颈检查的基础项目之一,它的检查方法操作简单、准确率也较好:用一把尖头锥形刷在女性的宫颈上轻刷几圈,收集宫颈上皮细胞,再将它放在显微镜下观察,是否有病变细胞并判断病变级别。

△检查报告上经常可以看到的 “红蓝相间”,即染色后的宫颈细胞
宫颈癌筛查的三个阶梯
第一阶梯是HPV和TCT检查
HPV、TCT检查可以作为初筛。也就是病原体+脱落细胞检查,是宫颈癌筛查的第一阶梯;
如果这个阶梯不过关,那么就进入到第二阶梯:阴道镜检查;
阴道镜检查通常要伴随着宫颈活检,也就是我们说的第三阶梯检查。

做了TCT还要查HPV?
引起宫颈癌的必要条件是高危型人乳头瘤病毒的持续感染。
因为HPV检测的敏感性高于TCT检测,故为了以防万一,临床上要同时做TCT和HPV检测。
HPV、TCT每年都要查吗?
宫颈癌从病毒持续感染到恶变可能长达20年,难道每年都要做宫颈癌筛查吗?
如果HPV和TCT连续三年都查出来是正常的,那可以两三年查一次。
但有一点要注意:如果您之前有过宫颈病变,需要坚持每年做一次TCT和HPV的筛查,千万不能偷懒。
另外:如果之前曾有过性生活,后没有性生活很多年,再后来又更换了性伴侣,这个时候都是您需要来做TCT和HPV筛查的一个重要的信号。

TCT和HPV筛查的两个误区
错!
宫颈病变大多数都是由HPV引起的,而HPV病毒感染后本身是没有症状的,但是它特别容易跟细菌合并感染,比如霉菌性阴道炎治疗后还是反复的发作,这个时候就提醒大家去做一个HPV的检查。
错!
一般来说,不管你近期有没有性生活,只要是有过性生活史,都要定期做HPV和TCT的检查。



闽公网安备